Rasa pelik kebelakangan ini mata sepet sebelah? Jom ketahui punca, cara rawatan dan pencegahan yang boleh dilakukan dalam perkongsian artikel ini.
Rasa pelik kebelakangan ini mata sepet sebelah? Jom ketahui punca, cara rawatan dan pencegahan yang boleh dilakukan dalam perkongsian artikel ini.

Untuk mendapatkan lebih banyak info tentang Kesihatan Mata, sila dapatkannya di sini.
Kelopak mata kuyu patologi, atau disebut ptosis mungkin berlaku disebabkan trauma, usia, keadaan neurologi atau disebabkan masalah perubatan.
Keadaan ini dipanggil ptosis unilateral – menjejaskan 1 mata, dan ptosis dua hala – melibatkan kedua-dua mata. Ia boleh bersifat sementara atau kekal.
Jika dialami sejak dari lahir – dikenali sebagai ptosis kongenital. Sebaliknya jika berlaku lama selepas lahir – disebut sebagai ptosis diperolehi (acquired ptosis).
Bergantung pada keterukannya, kelopak mata atas kuyu boleh menyekat atau mengurangkan penglihatan bergantung sejauh mana ia menghalang retina.
Ptosis boleh berlaku kepada sesiapa sahaja. Namun ia lebih kerap berlaku kepada individu dewasa berusia kerana proses penuaan semula jadi.
Umumnya, otot levator bertanggungjawab untuk mengangkat kelopak mata. Namun apabila usia meningkat, otot itu boleh meregang dan menyebabkan kelopak mata jatuh.
Walau bagaimanapun, individu daripada semua peringkat umur boleh mengalami keadaan ini. Malah bayi juga boleh dilahirkan dengan keadaan ini – tetapi ia jarang berlaku.

Penyebab ptosis kongenital adalah kerana otot levator tidak berkembang dengan baik. Kanak-kanak yang mempunyai ptosis juga berkemungkinan akan mengalami amblyopia – mata malas.
Gangguan ini boleh melambatkan atau mengehadkan penglihatan mereka.
Mata sepet atau ptosis ini boleh disebabkan oleh keadaan perubatan tertentu, seperti:
Sekiranya kelopak mata anda jatuh, ia boleh menjadi tanda masalah perubatan – terutamanya jika melibatkan kedua-dua kelopak mata.
Seandainya hanya sebelah kelopak mata jatuh, ia mungkin disebabkan kecederaan saraf atau ketumbit sementara.
Prosedur LASIK atau pembedahan katarak juga menjadi punca untuk mengembangkan ptosis – kesan otot atau tendon yang diregang.
Dalam sesetengah kes, ia boleh disebabkan keadaan lebih serius seperti strok, tumor otak atau kanser saraf mahupun otot.
Gangguan neurologi yang menjejaskan saraf atau otot mata – seperti myasthenia gravis – juga boleh menyebabkan ptosis.
Baca juga:
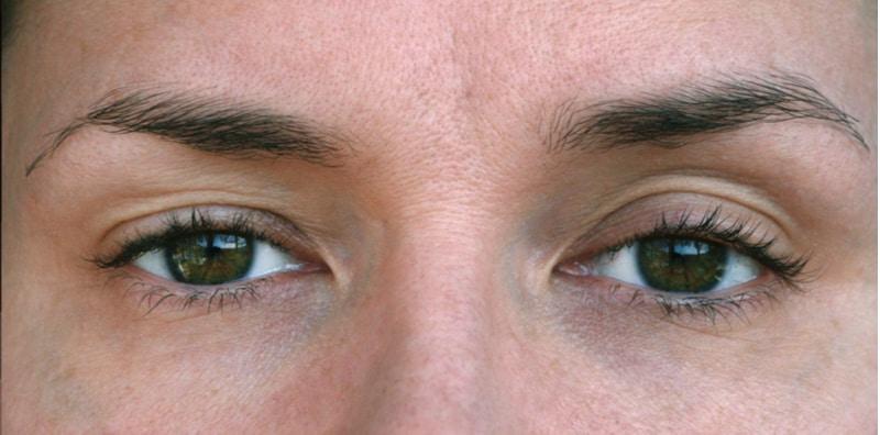
Gejala utamanya adalah satu atau kedua-dua kelopak mata atas mengendur. Dalam sesetengah kes, ia boleh menjejaskan penglihatan anda.
Anda juga mungkin mengalami mata yang sangat kering atau berair dan wajah akan tampak letih atau lesu.
Kawasan utama yang terjejas pastinya sekitar mata dan anda mungkin mengalami kekejangan – turut menjadi punca anda kelihatan letih.
Individu dengan ptosis teruk mungkin perlu mencondongkan kepala ke belakang untuk melihat semasa bercakap.
Doktor perlu memeriksa kelopak mata secara berkala bagi memastikan tiada masalah yang menyebabkannya. Ini penting terutamanya jika anda perasan sakit kepala migrain atau isu lain muncul selepas kelopak mata jatuh.

Rawatan bergantung kepada punca dan keterukan ptosis.
Jika ia berlaku disebabkan faktor usia atau dialami sejak lahir, doktor mungkin menjelaskan bahawa tiada apa yang perlu dilakukan kerana ia tidak berbahaya. Tetapi pembedahan plastik boleh dilakukan jika mahu mengurangkan kekendurannya.
Sekiranya ada faktor lain, puncanya akan dirawat terlebih dahulu. Ini biasanya akan dapat menghalang kelopak mata daripada mengendur.
Seandainya keadaan kelopak mata jatuh itu menghalang penglihatan, doktor akan mengesyorkan pembedahan atau topang ptosis (crutch ptosis).
Semasa prosedur pembedahan ini, otot levator akan diketatkan. Ini akan mengangkat kelopak mata ke kedudukan yang diingini.
Kanak-kanak dengan ptosis biasanya akan disyorkan rawatan ini bagi mengelakkan wujudnya mata malas.
Namun wujud risiko selepas pembedahan seperti mata kering, kornea tercalar dan hematoma – pengumpulan darah.
Alternatif lain adalah operasi ‘sling’ – di mana otot dahi digunakan untuk menaikkan kelopak mata.

Crutch ptosis tidak melibatkan pembedahan. Cuma penambahan topang pada bingkai cermin mata untuk mengangkat dan menahan kelopak mata.
Terdapat 2 jenis topang – boleh laras atau bertetulang. Adjustable crutch dilekatkan pada sebelah sisi bingkai, manakala reinforced crutch dilekatkan pada kedua-dua belah bingkai.
Topang ini boleh dipasang pada semua jenis cermin mata. Tetapi berfungsi paling baik pada bingkai logam.
Tiada cara untuk mengelakkan kelopak mata jatuh ini. Mengenal pasti simptom dan melakukan pemeriksaan mata secara berkala boleh membantu melawan keadaan ini.
Jika anda menyedari kelopak mata anak seperti kuyu, bawa mereka untuk berjumpa doktor bagi mendapat rawatan segera dan pemantauan.
Walaupun ptosis tidak berbahaya untuk kesihatan tetapi ia boleh menjejaskan penglihatan. Maka keadaan ini harus dipandang serius.
Masalah mata ptosis ini boleh dihentikan daripada menjadi lebih teruk jika anda mendapatkan pemeriksaan doktor segera.
Penafian
Hello Health Group tidak menawarkan nasihat perubatan, diagnosis atau rawatan.
Versi Terbaru
10/12/2024
Ditulis oleh Asyikin Md Isa
Disemak secara perubatan oleh Dr. Joseph Tan
Diperbaharui oleh: Siti Fatihah