Definisi
Apa itu pneumothorax?
Pneumothorax berlaku apabila terdapat aliran udara antara paru-paru dan dinding dada. Terdapat 2 jenis pneumothorax iaitu: Pneumothorax idiopatik (tiba-tiba berlaku pada individu yang sihat, tidak terdapat sejarah penyakit) dan pneumothorax sekunder (muncul daripada komplikasi paru-paru). Sekiranya tidak dirawat dengan segera, penyakit ini boleh menyebabkan kematian.
Apakah kebarangkalian pneumothorax?
Keadaan kesihatan ini adalah biasa dalam kalangan individu yang berusia 20 hingga 30 tahun, terutama dalam kalangan mereka yang tinggi dan kurus. Ia boleh diuruskan dengan mengurangkan faktor risiko anda. Sila berbincang dengan doktor anda untuk mendapatkan maklumat lanjut.
Ketahui simptom-simptomnya
Apakah simptom-simptom pneumothorax?
Simptom-simptom yang paling biasa adalah sesak nafas dan sakit di bahagian dada, terutamanya apabila anda menarik nafas dan menghembuskan nafas. Terdapat juga simptom-simptom lain seperti:
- Sesak nafas
- Pengsan
- Pucat
- Mudah keletihan
- Denyutan jantung cepat
Mungkin terdapat beberapa simptom yang tidak disenaraikan seperti di atas. Sekiranya anda mempunyai keraguan mengenai simptom, sila berjumpa dengan doktor anda.
Bila saya harus berjumpa doktor?
Jika anda mengalami mana-mana tanda dan simptom yang disenaraikan di atas atau anda mempunyai sebarang persoalan, sila berunding dengan doktor anda. Setiap tubuh manusia bertindak dengan berbeza. Oleh itu, cara yang terbaik adalah untuk berbincang dengan doktor anda bagi menentukan penyelesaian terbaik untuk situasi anda.
Ketahui puncanya
Apa yang mengakibatkan pneumothorax?
Pada masa ini, saintis telah mengetahui penyebab bagi pneumothorax. Saintis menyatakan bahawa gelembung udara meletup dan udara bertakung di dalam paru-paru. Pneumothorax kadangkala boleh menjadi penyakit keturunan.
Sementara itu, pneumothorax sekunder berlaku apabila anda mengalami penyakit paru-paru (asma, tuberkulosis, batuk kokol, COPD pulmonari obstruktif kronik). Di samping itu, kecederaan paru-paru atau dada juga boleh menjadi punca pneumothorax.
Ketahui faktor risiko
Apa yang meningkatkan saya kepada risiko pneumothorax?
Terdapat banyak faktor risiko untuk pneumothorax seperti:
- Jantina: Lelaki lebih kerap terjejas berbanding daripada wanita
- Merokok: Risiko meningkat jika anda merokok
- Genetik: Sesetengah jenis pneumothorax boleh diwarisi
- Penyakit paru-paru: Jika anda mempunyai beberapa penyakit paru-paru sebelumnya, anda mempunyai risiko yang lebih tinggi untuk mendapat penyakit ini
- Pengudaraan mekanikal: Jika anda mendapat bantuan daripada mesin pernafasan, anda mempunyai kemungkinan untuk mengalami pneumothorax
- Pernah mengalami pneumothorax sebelum ini
Tidak terdapat sebarang faktor risiko tidak bermakna anda tidak berpotensi untuk mendapat penyakit ini. Tanda-tanda ini hanya untuk rujukan sahaja. Anda perlu berbincang dengan doktor pakar untuk maklumat lanjut.
Diagnosis dan rawatan
Maklumat yang diberikan bukan pengganti untuk sebarang nasihat perubatan. SILA berunding dengan doktor anda untuk maklumat lanjut.
Bagaimana pneumothorax didiagnosis?
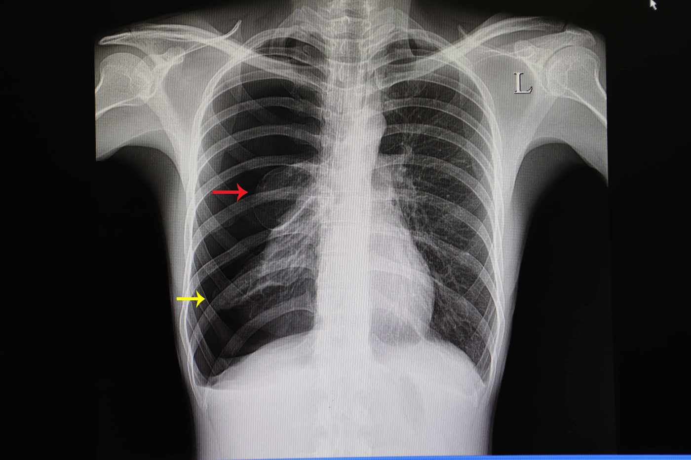
Doktor anda akan menyemak sejarah perubatan anda dan melakukan pemeriksaan fizikal. Doktor anda akan mendengar bunyi pernafasan melalui stetoskop. X-ray dada boleh mendiagnosis pneumothorax. Di samping itu, doktor akan memeriksa paras oksigen darah anda dan jantung dengan menggunakan ECG untuk menentukan sama ada anda mempunyai pneumothorax atau tidak.
Bagaimana pneumothorax dirawat?
Rawatan bergantung kepada tahap pneumothorax dan penyebabnya. Pneumothorax yang ringan boleh dirawat dengan membenarkan tubuh menyerap atmosfera. Untuk pneumothorax yang lebih teruk, jarum suntikan boleh dimasukkan ke dalam dada anda untuk mengeluarkan udara. Sekiranya lubang tersebut besar, anda mungkin perlu menggunakan tiub selama beberapa hari untuk memastikan paru-paru dipam sehingga lubang tersebut kembali sembuh. Sekiranya kaedah di atas masih tidak berkesan, anda perlu melakukan pembedahan untuk mengelakkan kewujudan udara di dalam paru-paru anda.
Perubahan gaya hidup dan kaedah pengubatan sampingan
Apakah perubahan gaya hidup dan kaedah pengubatan sampingan yang boleh diambil untuk menangani pneumothorax?
Gaya hidup dan pengubatan sampingan yang berikut mungkin membantu anda untuk mengatasi pneumothorax:
- Pemeriksaan semula untuk memantau perkembangan simptom serta kesihatan anda
- Ambil ubat anda seperti yang diarahkan, jangan menghentikan pengambilan ubat tanpa kebenaran doktor
- Bercakap dengan doktor anda mengenai ubat-ubatan yang anda ambil, sama ada yang dipreskripsi atau yang diperoleh dari farmasi
- Bercakap dengan doktor anda jika anda mengandung
Sekiranya anda mempunyai sebarang pertanyaan, sila berunding dengan doktor untuk memahami penyelesaian terbaik untuk anda.

















